发布时间:2024-04-23
近日,我院综合外科团队在南方医院骨科罗吉伟教授的带领下成功为一名饱受膝部病痛困扰的患者进行了微创右膝关节单髁置换手术。术后第二天患者即可下地进行简单活动。

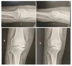
据了解,患者今年62岁,受右膝关节疼痛困扰达二十余年,随着病情加重,出现膝盖肿胀,不能屈曲,逐渐演变为“0”型腿,严重影响生活质量,多次辗转就医(多家省级医院),未见好转,经朋友介绍,来到我院骨科就诊。我院罗吉伟教授详细询问了患者病史,经检查诊断为原发性双侧膝关节病。

根据影像学资料所示,建议患者住院治疗,罗吉伟教授带领团队为其缜密制定手术方案,并成功实施右膝关节单髁置换术,术后第二天患者就能下地行走,患者膝关节疼痛明显缓解,膝关节功能逐渐恢复正常。

罗吉伟教授介绍,随着年龄的不断增长和体重的不断增加,人们的膝部关节就容易因为使用过度或自身负荷过重等因素受到损伤,出现炎症,关节退变。
尤其在步入老年后,膝部关节炎症就容易发展为退行性的膝部关节病变,严重影响行走和日常生活。必要时,经过确诊就可以通过手术来进行微创人工膝部关节的置换手术,主要目的是缓解关节疼痛,纠正关节畸形,恢复关节功能,具有创伤小、恢复快、住院时间短等优点,从而提高患者生活质量。

该项手术的成功开展不仅填补了我院在高难度微创人工膝关节置换领域的技术空白,也标志着我院骨科的治疗水平迈上了一个新的台阶。